Головна хвороба області
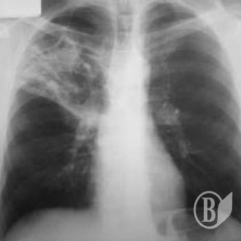
Найбільш розповсюдженими у 2012 році були хвороби органів дихання.
Захворюваність на них становила 33,3 тис. випадків на 100 тис. населення.
Повідомляє Головне управління статистики у Чернігівській області.
А також травми, отруєння та деякі інші наслідки дії зовнішніх причин – 5,4 тис.; хвороби системи кровообігу – 4,5 тис.; шкіри та підшкірної клітковини – 4,1 тис.; сечостатевої системи, ока та його придаткового апарату – 3,6 тис. випадків по кожному класу захворювань; кістково-м’язової системи та сполучної тканини – 3,4 тис.
Захворюваність серед жінок вища, ніж серед чоловіків. У 2012р. вона становила 70,7 тис. випадків на 100 тис. жінок, у той час, як із 100 тис. чоловіків хворіли 67,9 тис.
За даними Обласного центру інформаційно-аналітичних технологій та пропаганди здорового способу життя, у 2012р. в медичних закладах області, що підпорядковані Міністерству охорони здоров’я України, зареєстровано 745,7 тис. випадків захворювань з уперше в житті встановленим діагнозом, або 69,4 тис. випадків у розрахунку на 100 тис. населення (у 2011р. – 70,2 тис.).
| Версия для печати Отправить по e-mail Обсудить на форуме |
| Просмотров : 4216 |















.jpg)










Добавить комментарий: